Fingergelenkersatz
Die nach Verletzungen, durch übermäßigen Verbrauch, angeboren oder durch Veranlagung von Arthrose (Gelenkverschleiß) befallenen Gelenke der Hand sind häufig sehr schmerzhaft in der Bewegung eingeschränkt. Bleibt bei nicht operativer Therapie der Erfolg aus, so besteht die Indikation zum Gelenkersatzes. Trotz modernster „high-tech“ Materialen bleibt der routinemäßige Ersatz dieser Gelenke durch Endoprothesen (Kunstgelenke) auf die Langfingergrund- und -mittelgelenke beschränkt.
Bei Rheumatischer Genese der Arthrose haben sich die Silikonprothesen bereits seit Ihrer Einführung von 1962 bestens bewährt. Bei anderen Ursachen haben sich Metall-Kunststoff Kombinationen und zunehmend auch PyrroCarbon-Prothesen durchgesetzt.
Allen unterschiedlichen Kunstgelenken ist die absolute Schmerzfreiheit nach Ausheilung gleich. So ist selbst bei einem nicht so guten funktionellen Ergebnis eine Schmerzfreiheit zu garantieren!
Schemazeichnung einer Fingermittelgelenksendoprothese aus Silikon.
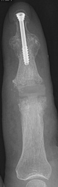
Die Röntgenbilder zeigen die implantierte Prothese im Zeigefingermittelgelenk bei gleichzeitiger Versteifung des Endgelenkes mit Schraube.
Blickfang ist hier das x-förmige Implantat zur Versteifung eines schmerzhaften und ehemals deformierten Endgelenkes.
Im Mittelgelenk fällt ein flauer "Schatten" von einem Kunstgelenk aus Silikon (Silikonendoprothese) auf.
Aufsicht Röntgenaufnahme mit Abbildung eines | Röntgenaufnahme des selben Fingers nach Implantation einer Pyrro-Carbon Endoprothese | ||
Das "modernste" Implantat zum Ersatz des Fingermittelgelenkes wurde in einer Kombination aus teilbeschichtetem Edelstahl und Polyethylen, ähnlich dem Gelenkersatz am Kniegelenk, konstruiert. Erste Ergebisse sind sehr vielversprechend, doch fehlen leider noch Langzeitergenisse | Ein weiterer Vorteil dieses "Designs" ist der geringe Knochenverlust bei der Implantation. Sollte es irgendwann zum Auslockern oder Funktionsverlust kommen ist ggf. eine Wechsel-Operation möglich. |
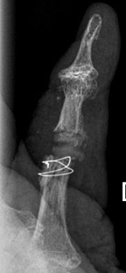
Ein ungewöhnlicher EInsatz einer Silikonprothese, besser Silkonspacer/-platzhalter ist die Revisonsoperation nach Vorausgegangener Operation mit einem anderen Prothesenmodell.
14 Jahre nach Implatation einer Pyrrocarbon Endoprothese ist es hier zur vollständigen knöchernen Überbauung gekommen Rechts das postoperative Bild mit Entfernung des Knochens, der Prothese und Einbau eines Silikonspacers. Ein Draht sichert die Knochenschuppe, die Zur Entfernung abgehoben wurde. |
Zum Ersatz von schmerzhaft verschlissenen Fingergrundgelenken haben sich die PyrroCarbon - Endoprothesen durchgesetzt.
Die Implantation dieser Gelenke ist mit einer geringen perioperativen Komplikationsrate und einer raschen Funktionsfähigkeit durchzuführen.
Leider ist der Gelenkersatz des schmerzhaft zerstörten Endgelenkes keine Routine. Regehaft ist hier die Versteifungsoperation. In gut begründeten Ausnahmefällen kann hier ein sogenannter "off label use" (Einsatz außerhalb der Zulassung des Medizinproduktes) erfolgen. Eine entsprechende Aufklärung der Patienten hat hier ausführlich zu erfolgen.
Einsatz einer Silikon-Endoprothese in das Daumenendgelenk, obwohl die Prothese für das Mittelgelenk konstruiert wurde.
Das Daumensattelgelenk wurde in gleicher Operation mit einer Resektions-/-suspensionsarthroplastik behandelt.
















